A woman with brown hair wears a white lab coat in a laboratory.
A woman with brown hair wears a white lab coat in a laboratory.

Sage’s Story: ‘It Felt Like I Was Giving Birth Every Month’

Sage D’Amato Had Stage 3 Endometriosis Plus an Anatomical Anomaly in Her Uterus and Kidney

Sage D’Amato has always had extremely painful periods. Every month, the 37-year-old from Roberts, Illinois, could barely leave her bed when she was menstruating. She tried everything to relieve the pain, but nothing seemed to help.

“It felt like I was giving birth every month,” she says. “In fact, when I gave birth to my two sons, I didn’t think the pain was that bad, because it just felt like another bad period.” 

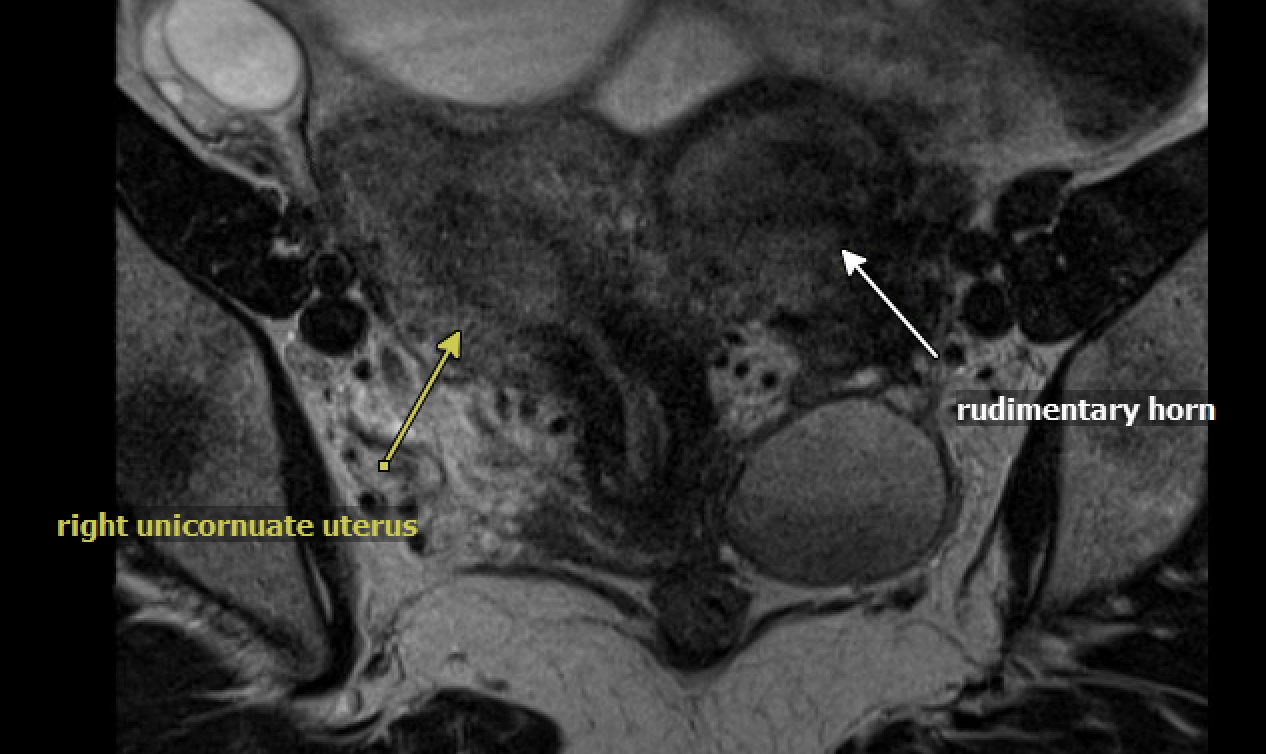
Sage was born with a rare uterine anomaly called unicornuate uterus with a rudimentary horn, which impacts about 0.03% of the population. This means that Sage’s uterus primarily developed on the right side of her body, while the left side only partially developed.

An MRI of Sage’s lower abdomen showing her anatomical anomaly: unicornuate uterus with a rudimentary horn.
An MRI of Sage’s lower abdomen showing her anatomical anomaly: unicornuate uterus with a rudimentary horn.

Caption: An MRI of Sage’s lower abdomen showing her anatomical anomaly: unicornuate uterus with a rudimentary horn.

Sage also had a kidney anomaly called dysmorphic and rotated kidney in the right lower abdomen with two collecting systems, meaning two ureters (instead of one) were draining urine from one of her kidneys.  

Five years ago, she started having even more pain in her lower left abdomen and decided to get it checked out. Her physician at the time diagnosed her with an ovarian cyst and stage 3 endometriosis.

Endometriosis is a condition where tissue similar to the uterine lining grows outside the uterus. This causes severe pain and heavy periods. After having her ovary with the cyst removed, Sage then underwent endometriosis surgery, but the pain persisted. At a local emergency department, Sage asked for a referral to Northwestern Medicine.

A Complex Surgery

At Northwestern Medicine, Sage underwent surgery with Magdy P. Milad, MD, chief of Minimally Invasive Gynecologic Surgery, and Ziho Lee, MD, a reconstructive urologist.

Her endometriosis was blocking her ureter, causing urine to back up into her kidney. Both surgeons operated together on the same day: Dr. Milad removed Sage’s uterus, and then Dr. Lee took out the endometriosis blocking the ureter and re-implanted the ureter into the bladder.

The complicated surgery was a success. Two months after surgery, Sage was back to enjoying life with her husband and kids. She’s able to continue her work as a necropsy technician without worrying about taking time off work due to extreme pain. 

“For the first time in over 20 years, I’m now living my life pain free,” says Sage. “Going to Northwestern Medicine was the best decision I’ve ever made, and I encourage all women who may be experiencing the same type of pain to advocate for themselves and seek a second opinion.”